Skip to content

Why it’s important to assess the gap

When you care for a patient with a chronic wound, your main goal is to help and support the wound healing process. Knowing how to conduct an accurate wound assessment is absolutely key here.

Inadequate wound assessments can lead to inappropriate treatment choices, poor patient outcomes and additional resource cost.1  Knowing what to look for when examining the wound – and the gap between the wound bed and the dressing – will give you a clearer sense of the condition of the wound and help you to decide how to create an optimal healing environment.

The Triangle of Wound Assessment is an important tool here. You can use it on all wound types, and it guides you in how to conduct a thorough assessment of the gap between the wound bed and the dressing. You can read more about the Triangle of Wound Assessment underneath.

What to look for when assessing the gap

Before we look into the actual assessment process, it’s important to remember that effective wound management goes beyond the wound itself.

When caring for a patient with wounds – chronic or non-chronic – it's always important to take a holistic approach. That means taking note of the patient’s overall medical history and health as well as the condition of the wound itself. If you need to refresh your knowledge of holistic wound management, visit the section here.

In a thorough assessment of the wound – and the gap between the wound and the dressing – you should consider:2

  • how long has the patient had this wound?
  • what is the wound’s aetiology (i.e. what caused it)?
  • how is it healing? Do you see any signs of progress?
  • what are the wound’s characteristics?
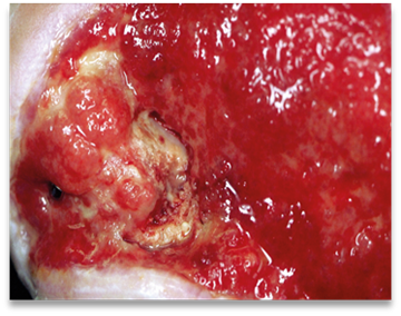
    • Here you should look at:
      • the wound’s depth, undermining, tunnelling and fistulas
      • the underlying wound bed structure and topography
      • the tissue quality. Are there signs of granulation or necrosis?
      • the periwound (surrounding) skin and the wound edge
      • the exudate, or fluid in the wound – its colour, consistency, odour and amount

If you notice that exudate is pooling, or if you believe that the exudate’s composition is preventing the wound from healing, your first priority should be to remove the excess exudate. Choosing the right wound dressing is the best way to do this. You can read more about how to do that here.

 

How often should I assess the gap?

You should complete a full assessment of a patient’s chronic wound at least once a week or, if possible, every time you change the dressing. This will help you diagnose and treat any wound infection in the early stages. By detecting an infection early on, you reduce the risk of serious complications, such as limb- or life-threatening infections.2

As you assess the wound, look for the following warning signs:

  • exudate pooling, leakage and soiling1, 3
  • periwound skin damage (for example, maceration, skin stripping or erosion)
  • delayed wound healing3
  • signs of infection
  • frequent dressing changes
Illustration showing how exudate can affect wound healing

Exudate: The different types and colours

The following chart describes the different types of exudate. The wound’s exudate gives you important information about the wound’s health. If you notice an unexpected change in exudate characteristics, this may mean that there is a change in the wound’s status, e.g that the wound is infected. If this happens, you should re-evaluate the wound as quickly as possible.4, 3

Type: Serous; Colour: Clear, amber or straw coloured; Consistency: Thin watery
Type: Serosanuineous; Colour: Clear, pink to light red; Consistency: Thin, slightly thicker than water
Type: Sanguineous; Colour: Red; Consistency: Thin, watery
Type: Seropurulent; Colour: Cloudy, creamy, yellow, tan; Consistency: Thin
Type: Fibrinous; Colour: Cloudy; Consistency: Thin, watery
Type: Purulent; Colour: Opaque, milky, yellow, tan or brown, sometimes green; Consisitency: Often thick
Type: Haemopurulent; Colour: Reddish milky, opaque; Consistency: Thick
Type: Haemopurulent; Colour: Red, opaque; Consistency: Thick